Corrección de la mordida cruzada
La mordida cruzada no es solo una preocupación estética, sino un problema dental que puede afectar significativamente la salud bucal y la calidad de vida. En ISO Clínica Dental Logroño, entendemos la importancia de un diagnóstico temprano y tratamientos efectivos. En este artículo, exploraremos en profundidad qué es la mordida cruzada, cómo se diagnostica y qué soluciones ofrecemos.
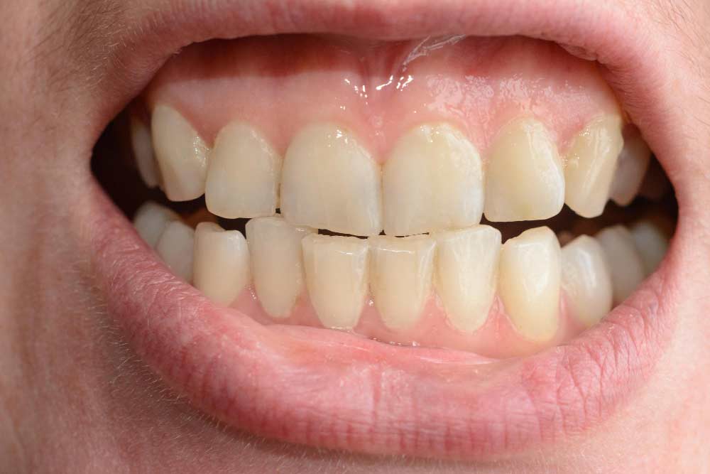
¿Qué es la mordida cruzada?
La mordida cruzada es una maloclusión donde los dientes superiores e inferiores no se alinean correctamente. Existen diferentes tipos: la mordida cruzada anterior ocurre cuando los dientes delanteros superiores muerden detrás de los inferiores; la mordida cruzada posterior afecta a los dientes laterales o traseros. Puede ser unilateral, afectando solo un lado de la boca, o bilateral. Las causas varían desde hábitos de la infancia, como el chupete y succión del dedo, hasta factores genéticos y desarrollo anormal del maxilar y la mandíbula.
Síntomas y diagnóstico
Los síntomas pueden incluir desgaste dental anormal, dolor en la mandíbula, y dificultades al masticar o hablar. En ISO Clínica Dental, utilizamos tecnología avanzada para un diagnóstico preciso, que puede incluir radiografías y escaneos 3D. Nuestro equipo está altamente capacitado para identificar y tratar esta condición.
Tratamientos disponibles
En ISO Clínica Dental, ofrecemos una gama de tratamientos efectivos para la mordida cruzada. Una opción popular son los brackets Logroño, que se utilizan para corregir gradualmente la alineación de los dientes. Otra alternativa son los alineadores transparentes, ideales para aquellos que buscan una solución más discreta. El proceso de tratamiento comienza con una evaluación detallada, seguido de un plan personalizado diseñado por nuestros especialistas. La duración del tratamiento puede variar según la complejidad del caso, pero siempre nos esforzamos por lograr resultados óptimos con la mayor eficiencia.
Casos de éxito y testimonios
La satisfacción de nuestros pacientes es nuestra mejor carta de presentación. Por ejemplo, María, una paciente de 30 años, acudió a nuestra clínica con una mordida cruzada severa. Después de 18 meses de tratamiento con brackets, logramos no solo mejorar su mordida, sino también su autoestima y calidad de vida. Como María, muchos otros pacientes han experimentado transformaciones notables, lo cual se refleja en los testimonios que amablemente han compartido.
Prevención y cuidados post-tratamiento
Prevenir la mordida cruzada comienza con buenos hábitos de salud bucal desde la infancia. Recomendamos evitar la succión prolongada del dedo y el uso del chupete más allá de los tres años. Después de un tratamiento exitoso, es crucial seguir las indicaciones de nuestros especialistas para mantener los resultados. Esto incluye el uso de retenedores y visitas regulares de seguimiento.
La mordida cruzada es una condición común pero tratable. En ISO Clínica Dental, estamos comprometidos con brindar atención de alta calidad y tratamientos personalizados. Si crees que tú o alguien que conoces puede estar sufriendo de mordida cruzada, no dudes en contactarnos para una consulta. Tu sonrisa es nuestra prioridad.




0 comentarios